
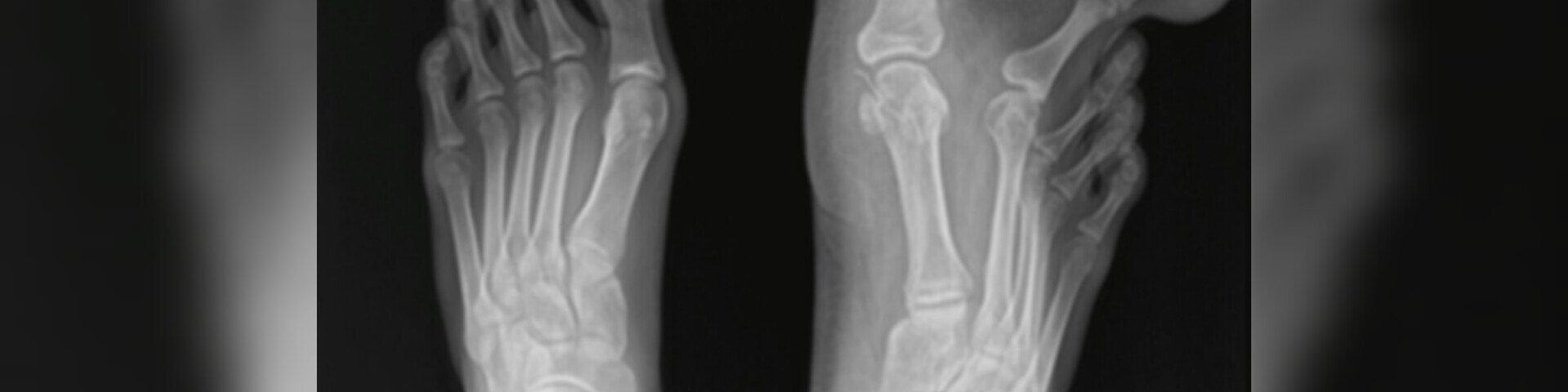
Uma garota de 12 anos foi operada na Malásia para retirar e remodelar parte de seu dedão e do segundo dedo do pé. Ela tinha uma rara má-formação congênita conhecida como macrodistrofia lipomatosa, que leva ao crescimento desproporcional dos dedos das mãos e/ou dos pés.
A condição é rara e atinge especialmente os membros inferiores, de acordo com relato de caso publicado na revista Cureus em agosto de 2023. Responsáveis pela operação da menina, os ortopedistas da Universiti Kebangsaan contaram que ela quase não usava sapatos por causa do extremo desconforto.
Segundo o texto, a menina apresentou o problema desde o nascimento. Apesar de benigna, a doença prejudicava seu equilíbrio e mobilidade, além de afetar a autoestima dela. No entanto, os pais esperaram até os 12 anos para decidir pela operação.
A equipe optou por uma cirurgia de reconstrução dos dedos para tirar o excesso de tecido adiposo e também retirou uma das falanges dos pés. “Como resultado da cirurgia, ela agora pode usar sapatos sem dificuldades”, diz o texto dos médicos.
Fonte: Metrópoles






