Homem passa 2 anos fazendo cocô pelo pênis e ejaculando pelo ânus
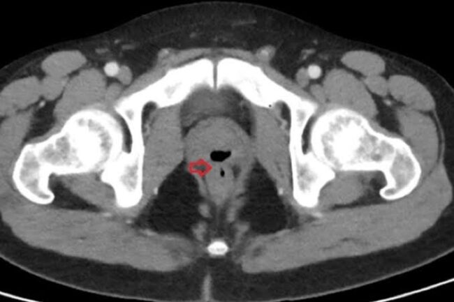
Após ficar em coma durante três semanas depois de uma intoxicação causada por cocaína e fenciclidina (PCP), um homem passou a sofrer uma série de complicações envolvendo o pênis e o ânus. De acordo com o jornal Daily Star, ele chegou a fazer cocô pelo órgão genital e ejaculou pelo reto. O homem de 33…
 









